We understand how head and neck cancer can drastically affect your daily life and sense of well-being. Our doctors specialize in pioneering, personalized treatments for all types of head and neck cancers. We focus on whole-person care, offering a range of therapies and services for your overall health.

User Image

Fred Baik

Head & Neck Surgeon

AI Generated: As a surgeon, I can't overstate the value of 3D imaging in my practice. It's incredibly precise, which is a game-changer for planning and carrying out complex surgeries, particularly in tricky areas like the head and neck.

User Image

Michelle M. Chen

Head and Neck Surgical Oncologist

AI Generated: As a surgeon, I can't overstate the value of 3D imaging in my practice. It's incredibly precise, which is a game-changer for planning and carrying out complex surgeries, particularly in tricky areas like the head and neck.

List of MD’s

User Image

Fred Baik, Head & Neck Surgeon

User Image

Michelle M. Chen, Head and Neck Surgical Oncologist

User Image

Vasu Divi, Head and Neck Surgeon

User Image

Andrey Finigersh, Head and Neck Surgeon

User Image

Chris Holsinger, Head and Neck Surgeon

User Image

Peter Hwang, Head and Neck Surgeon

User Image

Lisa A. Orloff, Endocrine Surgeon

User Image

Davud Sirjani, Head and Neck Surgeon

User Image

John B. Sunwoo, Head and Neck Surgeon

The Tumor Quant service utilizes 3D imaging to differentiate between residual tumor tissue and treatment-induced damage, such as radiation necrosis, in patients with high-grade gliomas. Traditional MRI scans often struggle to make this distinction, complicating the assessment of treatment effectiveness.

Our approach integrates blood flow data from perfusion imaging with detailed MRI enhancement data. This combination generates a map of the tumor, useful for distinguishing actual tumor tissue from necrotic areas. Such accuracy is important for tailoring patient treatment plans, allowing doctors to make informed decisions regarding subsequent care steps.

Tumor Quantification
Tumor Quantification
Tumor Quantification
Tumor Quantification


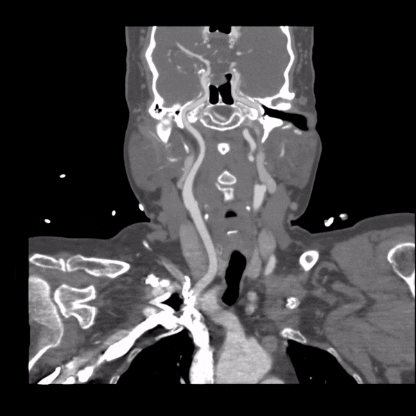
3D imaging for head and neck angiograms is a diagnostic tool that significantly enhances the detection and assessment of vascular conditions such as cerebral aneurysms, and stenosis, with a particular focus on the Circle of Willis. This imaging process allows providers to see the presence of calcium within aneurysms, the specific configuration of aneurysm necks, and the origins of vital vessels. Understanding these details is crucial for determining the most appropriate treatment pathway for patients.

These renderings also reveal stenosis or dissections in carotid or vertebral arteries, providing a view that may aid in diagnosis and treatment planning. These images are available within 45 minutes after CT acquisition, ensures timely decision-making.

This service creates many series of images. This includes axial, coronal, and sagittal maximum intensity projections (MIPs), as well as curved planar reconstructions (CPRs) of the left and right carotid arteries. Additionally, volumetric rendering (VR) of the Circle of Willis offers insights into the vascular architecture, aiding in the comprehensive evaluation of these structures.

Head & Neck Angiography
Head & Neck Angiography
Head & Neck Angiography

The Bony Head service specializes in 3D imaging for assessing craniofacial abnormalities. This service focuses on evaluating conditions such as the premature closure of skull sutures, abnormal skull shapes, and growth abnormalities affecting the craniofacial region.

Our service offers a suite of 3D imaging options, including cut plane visual reconstruction (VR) views, rotational VR movies, and cut plane VR movies, providing a dynamic and in-depth analysis of craniofacial anatomy. These technologies offer cross-sectional views and 360-degree tours around the cranial structure, promoting the detection and assessment of abnormalities in skull shape or suture closure.

These 3D imaging techniques support a thorough evaluation and understanding of various craniofacial abnormalities, aiding in accurate diagnosis and the planning of appropriate interventions.

Bony Head
Bony Head

Our Tumor Response Service, grounded in the Tumor Response Assessment Criteria (TRAC), plays a role in the fight against cancer by tracking tumor progression and response to treatments. TRAC reports, derived from advanced 3D imaging measurements, provide a detailed medical imaging perspective on tumor changes over time through longitudinal analysis. This method collects data points across the treatment timeline, offering a comprehensive view of the tumor's reaction to therapy and guiding healthcare professionals in making informed adjustments to treatment plans.

When a TRAC report is requested, our technologists first establish a baseline by measuring the dimensions of target and non-target tumors from initial scans. Follow-up scans, typically conducted three months into treatment, allow for repeated measurements and the accumulation of data analyzed according to specific tumor response criteria, tailored to the cancer type and treatment regimen. The analysis results, securely stored within our system, are presented in various formats such as tabulated summaries, stacked charts, and galleries of snapshots from DICOM images, enabling a multifaceted view of the patient's cancer journey.

Standardized tumor response criteria serve as the foundation for these evaluations, creating a consistent framework for assessing how tumors shrink, disappear, remain stable, or grow in response to therapy. This structured approach supports healthcare providers in evaluating treatment effectiveness, making informed decisions on continuing, modifying, or seeking alternative treatments based on the unique nature of the cancer, the treatment strategy, and the evolving landscape of cancer therapies. Our service, through TRAC, empowers clinicians with precise insights to optimize patient outcomes in the complex fight against cancer.

Tumor Response
Tumor Response

© 2023 3dapp. All Rights Reserved.