Stanford Health Care offers all of the latest treatment options for brain aneurysm care, including microsurgical surgery techniques and minimally invasive endovascular techniques, which treat the aneurysm from inside the blood vessel using minimally invasive techniques.

Our highly experienced neurosurgeons, neuroradiologists, neurologists and nurses work together to develop the right customized treatment plan for each patient's unique needs in partnership with the patient and family.

List of MD’s

User Image

Gary Steinberg, Cerebrovascular Neurosurgeon

User Image

Steven Chang, Neurosurgeon

User Image

Robert Dodd, Cerebrovascular Neurosurgeon


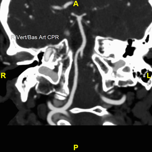
3D imaging for head and neck angiograms is a diagnostic tool that significantly enhances the detection and assessment of vascular conditions such as cerebral aneurysms, and stenosis, with a particular focus on the Circle of Willis. This imaging process allows providers to see the presence of calcium within aneurysms, the specific configuration of aneurysm necks, and the origins of vital vessels. Understanding these details is crucial for determining the most appropriate treatment pathway for patients.

These renderings also reveal stenosis or dissections in carotid or vertebral arteries, providing a view that may aid in diagnosis and treatment planning. These images are available within 45 minutes after CT acquisition, ensures timely decision-making.

This service creates many series of images. This includes axial, coronal, and sagittal maximum intensity projections (MIPs), as well as curved planar reconstructions (CPRs) of the left and right carotid arteries. Additionally, volumetric rendering (VR) of the Circle of Willis offers insights into the vascular architecture, aiding in the comprehensive evaluation of these structures.

Head & Neck Angiography
Head & Neck Angiography
Head & Neck Angiography

Our Tumor Response Service, grounded in the Tumor Response Assessment Criteria (TRAC), plays a role in the fight against cancer by tracking tumor progression and response to treatments. TRAC reports, derived from advanced 3D imaging measurements, provide a detailed medical imaging perspective on tumor changes over time through longitudinal analysis. This method collects data points across the treatment timeline, offering a comprehensive view of the tumor's reaction to therapy and guiding healthcare professionals in making informed adjustments to treatment plans.

When a TRAC report is requested, our technologists first establish a baseline by measuring the dimensions of target and non-target tumors from initial scans. Follow-up scans, typically conducted three months into treatment, allow for repeated measurements and the accumulation of data analyzed according to specific tumor response criteria, tailored to the cancer type and treatment regimen. The analysis results, securely stored within our system, are presented in various formats such as tabulated summaries, stacked charts, and galleries of snapshots from DICOM images, enabling a multifaceted view of the patient's cancer journey.

Standardized tumor response criteria serve as the foundation for these evaluations, creating a consistent framework for assessing how tumors shrink, disappear, remain stable, or grow in response to therapy. This structured approach supports healthcare providers in evaluating treatment effectiveness, making informed decisions on continuing, modifying, or seeking alternative treatments based on the unique nature of the cancer, the treatment strategy, and the evolving landscape of cancer therapies. Our service, through TRAC, empowers clinicians with precise insights to optimize patient outcomes in the complex fight against cancer.

Tumor Response
Tumor Response

© 2023 3dapp. All Rights Reserved.