The IVC Filter Clinic offers patient consults, scheduling, coordination, follow up, and education. We invite you to explore your treatment options at Stanford IR, and we look forward to managing any issues related to your IVC filter.

Our Venogram Service utilizes CT venography to offer a comprehensive view of the venous system, including the abdomen, pelvis, and lower extremities. Employing advanced 3D imaging techniques such as Maximum Intensity Projection (MIP) batches and Curved Planar Reformation (CPR), we aim to enhance the visualization of vascular structures throughout these regions. This approach may be useful for ensuring detailed imaging from the thoracic veins down to the veins of the lower limbs, providing a thorough examination of the venous system.

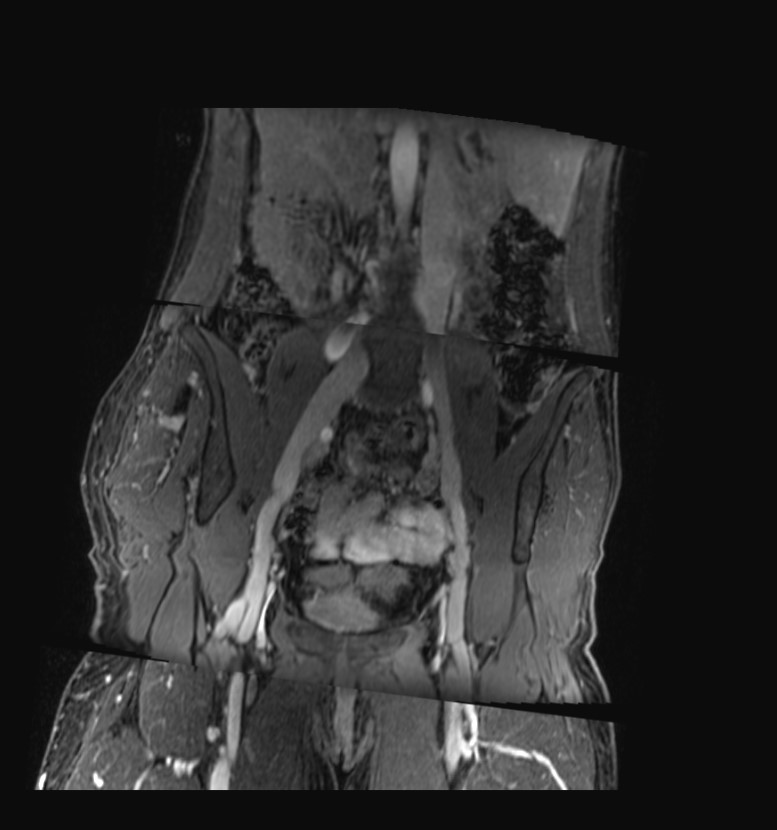
In addition to CT venography, our service incorporates MR venography, which is specifically valuable for displaying the venous system in the abdomen, pelvis, and lower extremities. This modality is particularly adept at assessing various venous conditions, including stenosis, the presence and condition of stenting, post-thrombotic changes, varicose alterations, and evaluating the saphenous vein for bypass suitability.

This dual approach may assist healthcare professionals to make informed decisions regarding treatment options, based on a comprehensive understanding of the patient's venous health, thereby enhancing patient care and outcomes in venous disease management.

Venogram
Venogram
Venogram

© 2023 3dapp. All Rights Reserved.