Here at Stanford, we use a multi-disciplinary approach to diagnosing and treating patients with valvular heart disease. We aim to repair, rather than replace heart valves whenever possible.

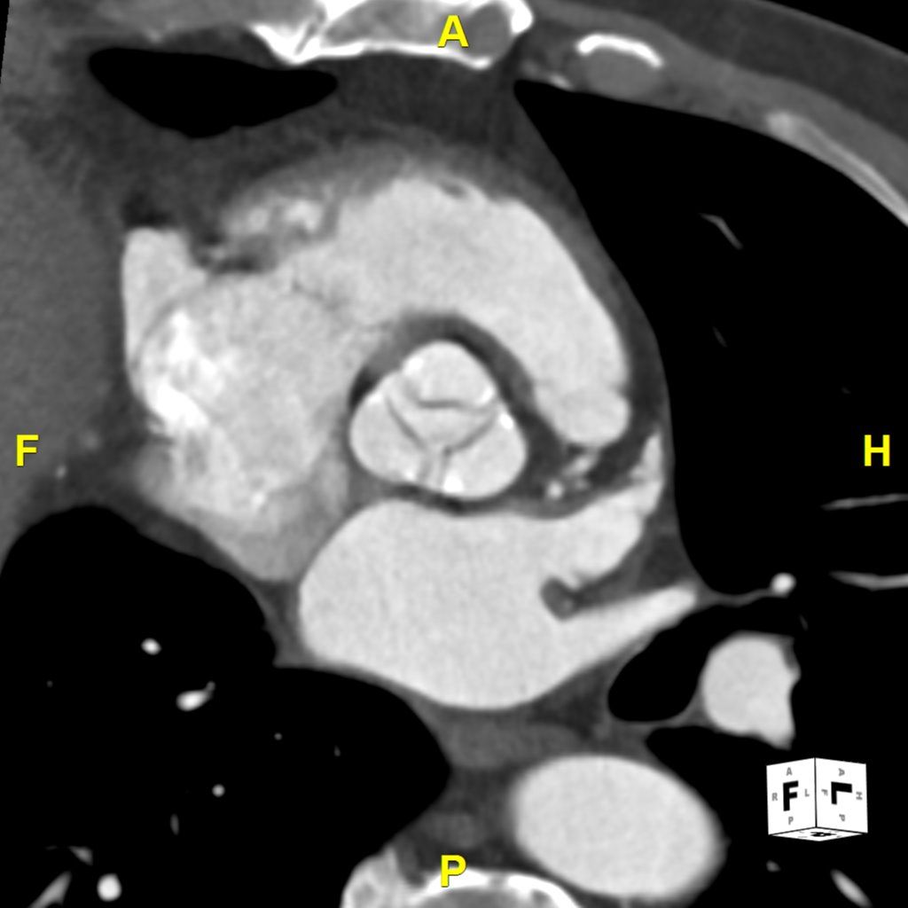
Our service for Transcatheter Aortic Valve Replacement (TAVR) utilizes 3D imaging and measurements to enhance procedural planning. These images may be useful for mapping the intricate landscape of cardiac structures and vasculature, ensuring each transcatheter heart valve (THV) procedure is customized to the patient's unique anatomy.

Using 3D imaging in the TAVR planning process allows for the evaluation of aortic root dimensions, annulus size, and the morphology of the aortic valve complex. It provides insights into the spatial relationships between the aortic valve and surrounding coronary arteries, highlighting potential challenges and guiding the selection of the appropriate valve size and optimal implantation approach.

Additionally, CT angiography assesses the iliofemoral arteries, determining their suitability for catheter access by identifying any calcifications, occlusions, or tortuosities that could impact the procedure.

Transcatheter Aortic Valve Replacement
Transcatheter Aortic Valve Replacement
Transcatheter Aortic Valve Replacement
Transcatheter Aortic Valve Replacement

© 2023 3dapp. All Rights Reserved.